Cosmetic Dentistry in Wickliffe, OH
Specializing in Excellent Care
Our mission is to help patients live healthier lives. We provide a caring, nurturing environment where your comfort and health are of primary importance.
Same Day Crowns
New Patients
Make An Appointment
Smile Gallery
Before and After Photos
Before
After

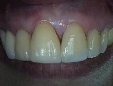
Before Smile Makeover

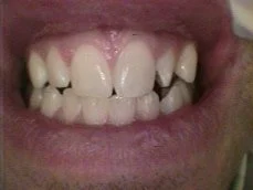
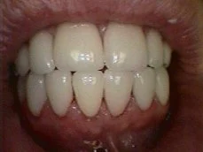
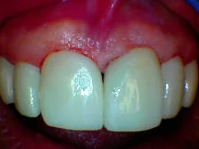
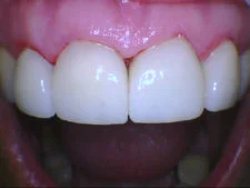
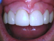
Smile Makeover Complete

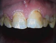
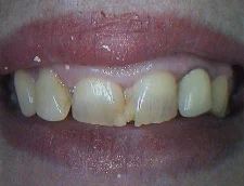
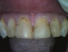
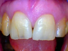
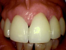
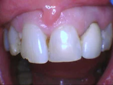
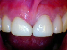
Misshapen Front Teeth

Smile Makeover

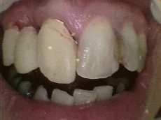
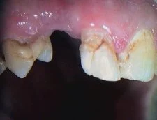
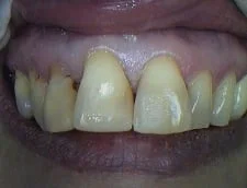
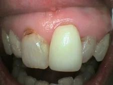
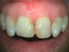
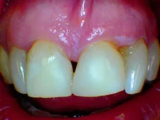
Decayed & Unsightly Front Teeth

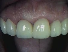
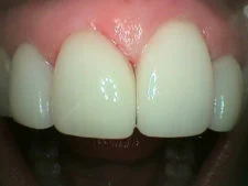
After Smile Makeover

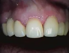
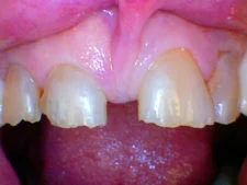
Missing & Decayed Front Teeth

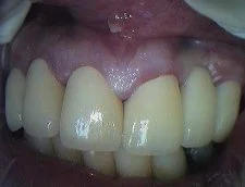
Makeover – Bridge & Porcelain Veneer

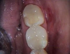
Old Mercury Fillings

New CEREC Porcelain Restorations

Old Mercury Fillings

New CEREC Restorations

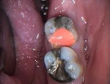
Old Mercury/Amalgam Fillings

New White (composite resin) Fillings

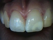
Stained & Discolored Front Teeth

4 Porcelain Veneers Placed

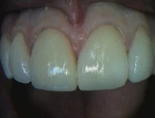
Cracking & Worn Front Teeth

New Veneers in Place

Before Porcelain Veneers

After Porcelain Veneers

Before Smile Makeover

Smile Makeover Complete

Old Deteriorating Composite Veneers

New Porcelain Veneers

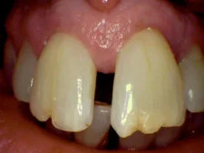
Missing Tooth

All Ceramic Bridge in Place

Misaligned Front Teeth with Spaces

Smile Makeover Complete

Cracked Old Silver/Mercury Fillings

New Porcelain Restorations

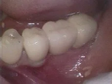
Implant Abutment

Implant Abutment Restored w/ A Crown

Unsightly Silver Filling

Tooth Restored w/ A White Filling

Old Crown and Misshapen and Decayed Teeth

Teeth Restored With Veneers

Short Unsightly Teeth

After Smile Makeover With E-max Porcelain Veneers

Before Veneers

After Veneers

Very Old Unsightly Bonding

Replaced With New E-max Porcelain Veneers

Very Large Space and Fractured Teeth

After Smile Makeover

Before Smile Makeover

After Smile Makeover

Before Space Closure and Smile Makeover

After Space Closure and Smile Makeover

Before Large Space Closure and Smile Makeover

After Large Space Closure and Smile Makeover

Old Front Crowns

New Crowns and Porcelain Veneers

Severe Wear and Wide-Open Spaces

Corrected With a Smile Makeover

Before Smile Makeover

After Smile Makeover

Short Worn Teeth

Correction With Porcelain Crowns and Veneers

Worn Thin Teeth

Correction With E-max Porcelain Veneers

Before Smile Makeover

After Smile Makeover
Imagine Smiling With the Radiance of a Beautiful Smile!
Call us now to find a smile you'll be happy to show off!
